• 943621153

Servicios

Estetica Dental

Nos ocupamos de los problemas de salud dental relacionados con la armonía estética de la boca, lo que se traduce básicamente en lograr una sonrisa perfecta, afeada por diferentes tipos de problemas: Asimetría dental. Separación entre los dientes anteriores.

Rehabilitacion oral

Nos encargamos de la restauración es decir devolver la función estética y armonía oral mediante prótesis dentales de perdidas de dientes, grandes destrucciones o de solucionar problemas estéticos, siempre buscando una oclusión y función correcta.

Odontologia general

Aplicamos los tratamientos encaminados a solucionar los problemas primarios que tienen que ver con la boca, dientes y otras estructuras relacionadas. En la mayoría de los casos representa el primer contacto del paciente con el odontólogo.

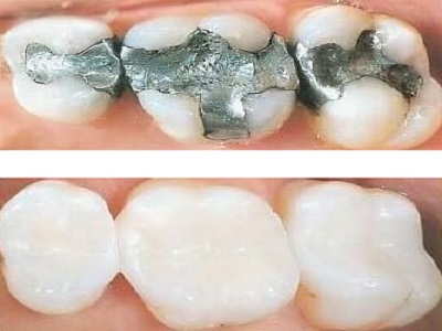
Curacion dental

La caries es un proceso peligroso, degenerativo e infeccioso, la cual generalmente destruye estructura dentaria (esmalte y dentina). Una vez detectada la caries, se procede a su limpieza a través de diferentes técnicas y productos. La odontología cosmética nos permite el uso de resina para estas curaciones.

Implantes

Los implantes son raíces dentales artificiales utilizadas para remplazar dientes perdidos. Los implantes están hechos de materiales biocompatibles como el titanio que pueden ser aceptados por el cuerpo humano. Los implantes son colocados en el hueso donde los dientes están ausentes.

Ortodoncia

Corrección de los dientes y huesos posicionados incorrectamente. Los dientes en mala posición y los que no muerden correctamente unos contra otro son difíciles de mantener limpios, corren riesgos de pérdida precoz debido a caries y enfermedades periodontale que puede generar dolores de cabeza.